Da cellule di maiale potenziali trattamenti per l'Huntington
02/06/2016
Da cellule di maiale la base per nuove potenziali cure per la Malattia di Huntington. Il pionieristico metodo è stato messo a punto da ricercatori di Casa Sollievo della Sofferenza e dell'Università di Perugia.
La base per un innovativo approccio terapeutico sperimentale alla Malattia di Huntington, anche nota con il nome di Còrea, pubblicato sulla rivista scientifica internazionale CNS Neuroscience & Therapeutics, apre nuovi orizzonti nel trattamento di tale patologia a tutt’oggi priva di una cura, grazie alla collaborazione dei ricercatori coordinati da Ferdinando Squitieri, Responsabile, dell’Unità di Ricerca e Cura Huntington e Malattie Rare dell’IRCCS Casa Sollievo della Sofferenza di San Giovanni Rotondo e Istituto CSS-Mendel di Roma (oltre che direttore scientifico della Fondazione LIRH onlus) e da Giovanni Luca e Riccardo Calafiore, della Scuola di Medicina dell’Università di Perugia.
“La ricerca, eseguita su modelli animali, apre le porte a futuri approcci terapeutici innovativi che potrebbero, nel futuro e con le dovute cautele, prevedere una potenziale applicazione per i pazienti”, dichiara Luigi Frati, Direttore Scientifico dell’IRCCS Neuromed di Pozzilli.
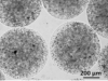
Purtroppo l’attuale terapia farmacologica per l'Huntington non consente ancora di rallentare il decorso della malattia. Nello studio sperimentale appena pubblicato sono state sfruttate le proprietà immunomodulatorie, antiinfiammatorie e trofiche di una particolare cellula del testicolo del maiale, la cellula di Sèrtoli, che normalmente svolge, nella sua sede fisiologica, funzioni nutritizie e protettive sulla spermatogenesi. Cellule di Sertoli ottenute da un allevamento di suini tenuti in condizioni di assoluta assenza di agenti infettivi sono state immobilizzate all’interno di microscopiche capsule di alginato di sodio già approvato per uso umano. Le cellule microincapsulate sono state quindi iniettate nel cavo peritoneale (addome) di topi affetti da Malattia di Huntington.
Il risultato è stato il miglioramento della condizione clinica ed il prolungamento della vita media dei topi trattati, insieme alla riduzione dei livelli di molecole pro-infiammatorie nell’encefalo.
“Le microcapsule contenenti cellule di Sertoli – dichiarano i ricercatori - agiscono come una microfabbrica biologica che dalla cavità peritoneale rilascia fattori i quali, per via sistemica, possono raggiungere le parti malate, senza la necessità di iniezioni locali nel Sistema Nervoso e senza richiedere immunosoppressione farmacologica. Due grandi vantaggi che rendono il protocollo terapeutico particolarmente promettente.”
L’applicazione di trapianti di tessuti da animali, allevati in condizioni speciali come i maiali, all’uomo potrebbe rappresentare un obiettivo raggiungibile in un futuro non cosi’ lontano.
“L’IRCCS Casa Sollievo della Sofferenza di San Giovanni Rotondo ha, come principale missione, quella di combattere le malattie ereditarie con approcci di medicina rigenerativa e con terapie innovative”, afferma Angelo Vescovi, Direttore Scientifico, “i risultati di questa ricerca, insieme a quelli recentemente ottenuti su malattie neurodegenerative devastanti come la SLA, potrebbero aprire a nuovi ed importanti scenari nella terapia delle forme umane di queste gravi ed altrimenti incurabili malattie”.

Nella foto: le microcapsule contenenti le cellule di Sertoli utilizzate nel presente studio. Le microscopiche capsule hanno dimensioni di circa 0,5 mm di diametro.
